功能超乎想象——SONIALVISION SMIT
2022-10-24岛津公司一直致力于开发多功能机的功能应用,在岛津的多功能机家族里有以功能强大著称的SONIALVISION系列产品;以剂量控制严格、使用方便的Neo-vision系列产品。
SONIALVISION产品系列充分利用动态平板的成像优势,逐渐形成了自己的功能特性,尤其是其在骨科的应用中的具有独到的特长。
视金识功能
可以适用于金属植入物分辨
全景摄影功能
快速扫描、位置反馈、操作方便
骨密度检查功能
精准定位、高KV、狭缝扫描
岛津公司有幸在郑州大学第一附属医院安装了两台SONIALVISION SMIT产品,该产品的高级应用功能有效的在科室开展了相应的检查,并充分得到了院方临床科室的认可及肯定。

引用转载相关文章《新型DXA骨密度影像技术——Beyond BMD》
新型DXA骨密度影像技术——Beyond BMD
蒋耀军 郑州大学第一附属医院
骨骼的健康主要看骨量,骨矿物质(钙、磷等)和骨基质(骨胶原、蛋白质、无机盐等保证骨量的主要元素)。男性峰值骨密度出现在20~30岁,女性峰值骨密度值出现在35~40岁[1],此后随着年龄的增长,骨矿含量出现逐渐流失,骨量随之减少,女性尤为显著。所以骨量就像“养老金”,年轻时往里多存点,等年纪大了才够用。会不会得骨质疏松,主要取决于骨量峰值的高低和后来骨量丢失的速度。步入老年期(男性50岁,女性绝经)后,逐渐表现出腰酸背疼、腿脚抽筋、身高变矮、驼背、易骨折等临床症状,老年人的生活质量下降,已日益成为危害公众健康的严重病症[2]。骨质疏松作为常见病、多发病,我国已将骨质疏松、糖尿病和老年痴呆症一起列为重点攻克的三大老年性疾病。

图1 骨质疏松症的分类
骨密度测量在医学上具有重要意义,对骨质疏松、骨质软化、纤维性骨炎及其他影响钙磷代谢的疾病的发生、诊断、治疗、推测预后及随访观察等有重要意义。
数字化多功能胃肠机(SONIALVISION SMIT)的Smart BMD(骨密度测量功能),通过对腰椎、髋关节部位进行DXA检查,可以很容易地检测出骨密度情况。患者在做骨密度测量的同时可以进行脆性骨折、压迫性骨折等X线检查。这样可以减少病人在不同检查室之间的移动,缩短检查时间,提高检查效率,降低了病人的负担。可在透视下进行操作,操作简单、定位准确、采集速度快。

图2 测量步骤
应用场景
1 骨科术前评估
应用适应症:全脊柱摄影—青少年脊柱侧弯等畸形的矫正和人工腰椎椎间盘置换。可进行骨密度检查和负重全脊柱扫描。

图3 负重全景成像应用之全脊柱扫描技术

图4 腰椎骨密度术前评估联合椎间盘置换及内固定术后评价
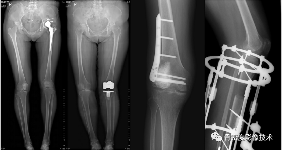
应用适应症:全下肢摄影—人工髋关节、膝关节置换以及下肢不等长畸形的矫正和O、X型腿畸形的矫正。可进行骨密度检查和负重全下肢扫描。

图5 股骨颈骨质量术前评估联合股骨、膝关节置换等术后评价

图6 髋臼骨质量术前评估联合臼杯置换术后评价
备注:图片由北京积水潭医院提供
2 监测疗效和病情
- 
	糖皮质激素性骨质疏松症,易引起病理性骨折,发病率仅次于绝经后OP和老年性OP。糖皮质激素可促进蛋白质分解,增加钙、磷排泄,使骨基质形成障碍。 
- 
	长期服用抗癫痫药也会因消化道对钙的吸收减少而致低钙血症,出现骨质疏松症。 
- 
	骨矿物质代谢是受甲状旁腺激素、维生素D代谢物和降钙素共同调控的。甲状旁腺激素是血钙浓度的最重要的调节器,增加骨钙的释放和减少肾脏对钙的排泄。 
- 
	甲状腺激素:甲状腺激素(甲亢)可以增加骨重建,但由于破骨细胞活性占主导,导致骨量丢失。甲减抑制骨吸收的能力下降。 
- 
	过度饮酒可以干扰骨代谢,减少骨量,甚至引起骨质疏松,骨折风险增加。成长中的骨骼对酒精更为敏感。 
参考文献:
[1] 程晓光,董剩勇,王亮,等. 应用双能X线骨密度仪调查中国人群骨密度水平和骨质疏松症患病率——多中心大样本体检人群调查[J]. 中华健康管理学杂志, 2019, 13(01): 1⁃2.
[2] 中华医学会放射学分会骨关节学组, 中国医师协会放射医师分会肌骨学组, 中华医学会骨科学分会骨质疏松学组, 等. 骨质疏松的影像学与骨密度诊断专家共识[J]. 中华放射学杂志, 2020, 54(8):745-752.
(文章来源:以上文章来源于骨密度影像技术 ,作者蒋耀军)





