一个SERAC1突变引起的复杂遗传性痉挛性截瘫中国家族患者
期刊:Frontiers in Pediatrics
期刊影响因子:3.569
关联机种:GCMS
Complicated Hereditary Spastic Paraplegia Caused by SERAC1 Variants
in a Chinese Family
Chunhua Zhang5, Dong Li3* and Chunquan Cai1,2*
1 Tianjin Pediatric Research Institute, Tianjin Children's Hospital (Tianjin University Children's Hospital), Tianjin, China.
2 Tianjin Key Laboratory of Birth Defects for Prevention and Treatment, Tianjin, China.
3 Department of Neurology, Tianjin Children's Hospital (Tianjin University Children's Hospital), Tianjin, China.
4 Department of Physiology, Tianjin Medical College, Tianjin, China.
5 Matsumoto Institute of Life Science (MILS) International, Yokohama, Japan.
doi: 10.3389/fped.2021.816265
【文章概述】
2022年天津儿童医院神经科和儿研所蔡春泉团队在Frontiers in Pediatrics杂志发表了一篇题为【一个SERAC1突变引起的合并遗传性痉挛性截瘫的中国家族病例】简述报告。敏路思(北京)医学检验所的张春花教授为文章共同发表者。
该报告提到含丝氨酸活性位点的蛋白1(serine active site-containing protein 1:SERAC1)双等位基因变异通常会导致MEGDEL综合征,其临床特征是尿液中3-甲基戊烯二酸的排泄增加、肌肉张力减退、感音神经性耳聋和脑MRI扫描上的Leigh样病变。本报告介绍了一个中国家庭的病例,该家庭因SERAC1变异而出现代谢紊乱和肌张力障碍;先证者的临床表型与MEGDEL综合征不同,但与青少年发病的遗传性痉挛性截瘫相似。因此这项研究旨在确认SERAC1变异与复杂的遗传性痉挛性截瘫之间的关系。方法采用对先证者进行MRI和实验室检查,包括气相色谱/质谱(GC/MS)代谢筛查用于检测尿液中3-甲基戊烯二酸。全外显子组测序用于检测候选SERAC1突变。使用Sanger测序验证了突变个体。使用各种软件程序(PolyPhen-2、MutationTaster、PROVEAN和SIFT)预测新突变的致病性。结果发现脑MRI扫描显示,双侧基底节出现对称片状异常信号阴影,GC/MS分析中发现3-甲基戊二酸的排泄量增加。全外显子组测序显示了新的复合杂合突变,包括从父亲遗传的SERAC1外显子14中的新c.1495A>G(p.Met499Val)突变和从母亲遗传的外显子8中的新c.721_722delAG(p.Leu242fs)突变。致病性预测结果表明,这两种变异是有害的。因此通过本研究介绍了一名由SERAC1变异引起的复杂遗传性痉挛性截瘫患者。这些发现扩大了已知SERAC1变异的数量以及与SERAC1缺乏相关的表型谱。这项研究可能有助于通过产前咨询和预防遗传性疾病。

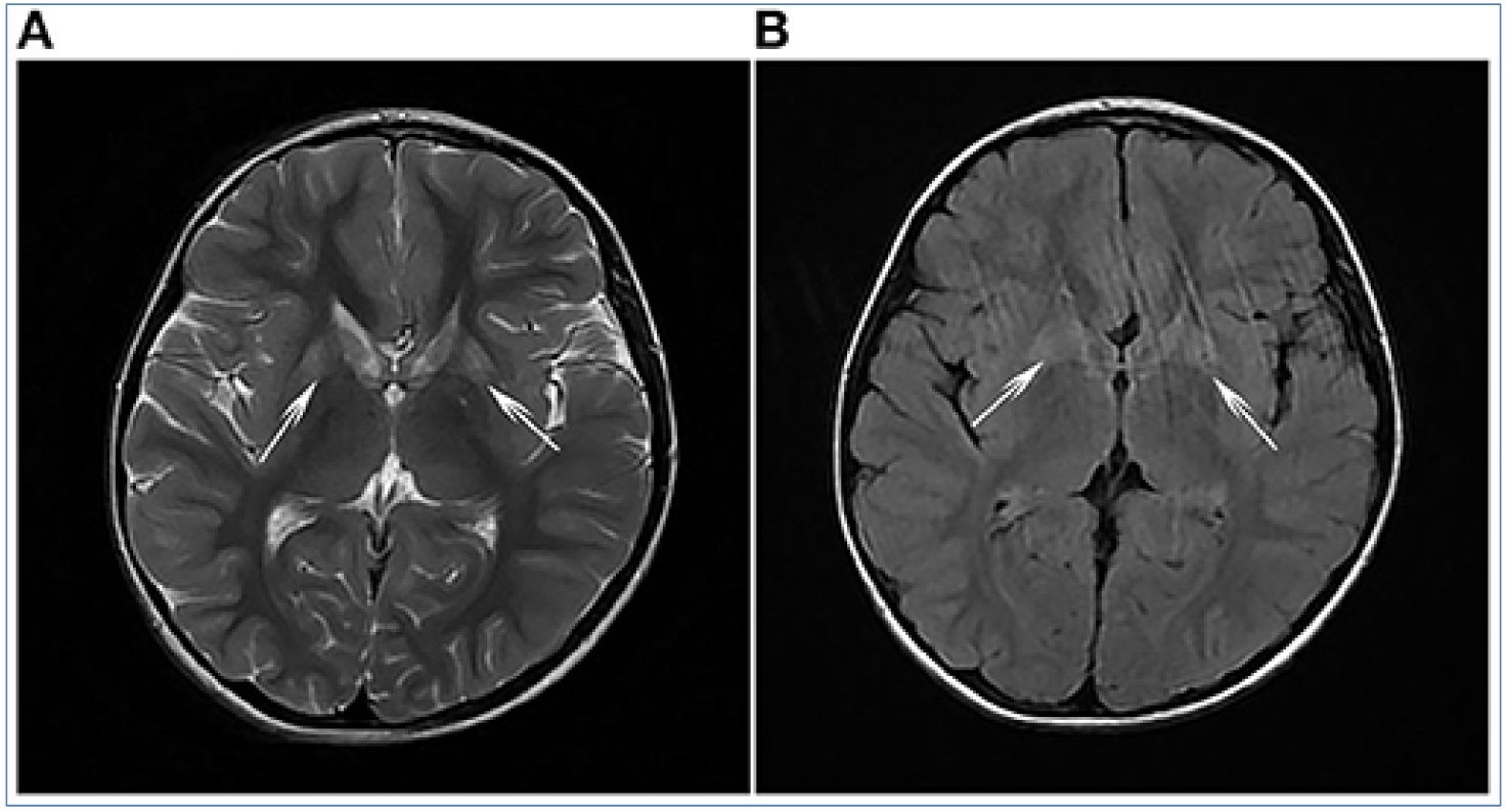
FIGURE 1. (A) T2-weighted imaging (T2WI) and (B) fluid-attenuated inversion recovery (FLAIR) analyses revealed symmetrical flake abnormal signal shadows in bilateral basal ganglia (white arrows).

FIGURE 2. Gas chromatography/mass spectrometry (GC/MS) spectra for 3-methylglutaconic acid (3-MGA) and 3-methylglutaric acid. Results show that urinary excretion of 3-methylglutaric acid and 3-methylglutaric acid were increased (red arrows).
该研究报告中的尿代谢组学成分数据是由敏路思(北京)医学检验所检验和研究团队提供,尿液标本分析采用了岛津的GCMS-QP2010 Ultra GC-MS system (Shimadzu, Kyoto, Japan) 来完成的,验证了岛津GCMS设备在尿有机酸血症筛查诊断以外的Leigh样病变的鉴别诊断研究中的应用价值。近10多年的研究证明,常用有机酸血症筛查对3甲基戊烯二酸尿症I型的诊断有很重要的诊断意义,但是继发性3甲基戊烯二酸尿症的代谢表现作为线粒体功能异常的有意义的指标受到临床关注,轻度的3甲基戊烯二酸尿症的提示会引导临床对线粒体脑病做更详尽的诊断,基因分析出现相关线粒体脑病关联基因突变时的代谢功能评估也意义重大。GCMS的尿液广谱分析在更深层面的罕见病分析研究方面具有重大的潜力可望!